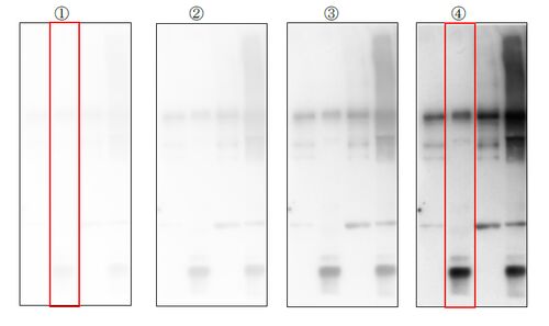
【WBの露光時間を変えて次の4つの結果を得ました】 左から右に向けて、露光時間が長くなっています。 研究員A氏は、この結果を使って論文を書きました。 露光時間を長くすると、2番目のレーンに流した目的のタンパク質のバンドの下方に余計なバンドと思われ…
引用をストックしました
引用するにはまずログインしてください
引用をストックできませんでした。再度お試しください
限定公開記事のため引用できません。